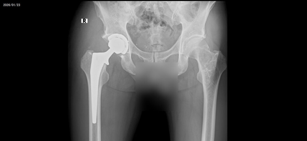
右変形性股関節症(人工関節置換術)
2026年1月15日(木)初日
とうとう入院の日がやって来た。正月に右膝を痛め一時はどうなるか?と思ったが、なんとか無事?に予定通り入院できました。13:00に受付との事で、自宅を10:30頃出発して病院近くのデニーズで、一緒に来てくれた、カミさんと車で送ってくれた長男と昼飯を食べて、10分前に入館?・・
入院の手続きを行い、ここで家族と別れ(😊)、部屋に行きました。3人部屋の端の部屋で綺麗でした。その後、色々な担当の方に説明を受けました。明日手術と言う事でシャワーに入ったのですが、ここで事件が・・シャワー室のシャンプーとか置く台の角に、シャワーを止めようと思いかがんだ瞬間に結構な勢いで頭部をぶつけてしまい流血。シャワーと一緒に血が流れなんとか垂れないように、タオルで出血部以外を拭き、看護婦さん?を呼び、手当して貰いました。「他にもこんな人いました?」と聞いたところ「いないと思います」と優しく返答されました。初日からやってしまいました・・・
※60歳以上の人は心電図とか内科の先生が確認してくれて、毎食前に血糖値も測ってくれました。血糖値を測る為に針で指を刺すのだが、結構痛かった。両方とも正常値であった。



減塩食だったが美味しかった。ちょっと量はそんなにだが充分でした。カーテン越しの隣からは、お新香を食べてるような、音がしてた・・・病院の方はみんな良い方でした。
2026年1月16日(金)入院2日目
朝山手線・京浜東北線が運休との事で、手術前の面会はできなかったが、9:30から予定通り手術が実行されました。酸素マスクなのか?点滴なのか?わかりませんが、あっと言う間に意識がなくなり、起きた時には、手術台の上で全て終わっておりました。手術は1時間弱、目が覚めたはその1時間後くらいでしょうか?結果動けない入院生活が始まり、傷は痛くないのですがベットで同じ体勢のせいか、腰や背中がものすごく痛く、寝た気がしませんでした。ちょっと傷口から血が滲んでいたようで、対処して貰いました。


この日、止血剤?の点滴を打った時、血圧が70くらいになり、吐き気もして、全身汗をかいて苦しかったので初めてのナースコールを呼びました。点滴止めたら程なく良くなりました。
2026年1月17日(土)入院3日目
この日は、オッシッコの管も抜け、足を圧迫する器具も取られ、比較的身軽になりました。しかし、血糖値が昼186、夜208で初めてインシュリンを打たれました。



この日からは、点滴ではなくて食事になりました。昼のハンバーグは苦手でしたが、それ以外は美味しく食べられました。今はトイレは1人で行けないので、毎回ナースコールで呼ぶのが申し訳ないです。めっちゃ近いので・・
今日からリハビリが1回始まりました。結構良い方と言われました。頑張ろう!!
2026年1月18日(日)入院4日目
今日は日曜日でリハビリはお休みなので、一日自由でした。(ベットの上で・・)今日からトイレに行くのも車いすではなく、サークルになった。これは一歩前進だ〜。何をしたかと言うとなんもしてない。キャンピングカーのYouTube見たり、NetFlixで『雪風🔗』を見たくらいかな・・2時間くらいなので『メイドインコリア🔗』は6時間だったから随分簡単に見られた。正直4日目にしてちょっと飽きた。明日からは3回/日リハビリがあるようなので、頑張ろう



味噌汁が味がないんだよな〜減塩食だがらか〜自分が悪いのか〜。
2026年1月19日(月)入院5日目
今日から本格的なリハビリが始まった。3回/日。シャワーも入ることができた。(入院して2回目)リハビリの方にサークルを使って自分で移動できるか?チェックをしてもらいOKがでた。だからと言ってすぐ自分だけで移動させてくれるわけでもなく、翌朝まで看護師さんがトイレの移動に付き添ってくれて、それでOKが出れば晴れてサークルを使って自分1人でトイレ行ったり、自販機で水買ったりできる。早くその時が来てほしい。血糖値は朝晩は問題ないが昼がまだ200を超えてインシュリンの注射を打っている、こちらも安定したい。



今回、昼のハンバーグは美味しかった。パイナップルもついて。夜の煮魚はもうちょっと濃い味付けがほしい。あと全体的に白米が多い。そう言えば夜21時から朝6時まで、結構寝られてトイレも1回0時に行ったきりだった。良い傾向だ〜
2026 年1月20日(火)入院6日目
看護師さんもチェックしていただき、9:30頃からサークルを使えるようになり、自分で自由にトイレに行けるようになった。嬉しい〜。思う存分唯一自販機で買える水も飲めるし本当に嬉しい。今日ちらっと言われたのが、私の骨はレントゲンからは、ちょっと脆いらしく、重いものを持ったり、転ばない様に注意して下さいと言われた。もちろん注意するが事前の検査では、骨密度などは問題なかったのに、何故だろう?・・今日も昼の血糖値が200以上でインシュリンを打った。朝・晩は大丈夫なのだが・・早くよくなりたい。




2026年1月21日(水)入院7日目
とうとう入院して1週間だ〜。今日は朝昼晩の血糖値が許容範囲でインスリンの注射はなかった。朝から今までよりも水分を取ったせいだろうか?そのせいか18:20現在、0時から11回もトイレに行っている。考えると行きたくなる・・・今日は杖のチェックで、夜何回か安全に杖が使えれば、サークルではなくて杖で自由に歩ける様になるとこの事だ。頑張ろう。



2026年1月22日(木)入院8日目
無事、サークルから杖が許可された。もう杖あってもなくても同じ感じだが・・水分多く取ったつもりだが、昼のチェックで血糖値が引っかかてしまった。明日はもっと多めに水分とるか・・



2026年1月23日(金)入院9日目
今日は一日忙しかった。リハビリ3回。シャワー。レントゲン。を行った。本日から独歩のリハビリが始まり、入院して初めて病院の周りだが外を歩きました。気持ちよかった。階段の登り降りも普通にできて良い感じであった。ただし水飲みすぎのせいか、リハビリの途中でもトイレに行かせてもらった。困ったものだ〜本日退院の日程が決まった。1月26日(月)10:00だ〜嬉しい。



2026年1月24日(土)入院10日目
今日は2回のリハビリで時間が結構あったので、『最悪の悪🔗』を6時間くらい一気にみて見終わった。まあまあ面白かった。なんとか朝昼晩の血糖値も180以内となり、インスリンは打たないでよかった。この調子を維持できる様にしよう。今日はトイレ15回も行ってしまった。



2026年1月25日(日)入院11日目
今日一日頑張ったら明日退院だ〜。今日は日曜日なのでリハビリはなく自主リハビリとビデオ三昧になりそうだ。計画停電も予定されている。
なんとか血糖値も朝昼晩とインスリン打たなくて良い数値に安定してきた。今日も殆どベットの上で、ネットやビデオを見ていた。今日見たのは『燃えよ剣🔗』で2回目だが岡田准一の新撰組の話だ。結構面白かった。このあとはアベンジャーズでも見ようかなと思っている。やっと明日退院まで漕ぎ着けたが、ちょっと歩けるようになっただけなので、自宅でもリハビリをしっかりやろうと思う。



2016年1月26日(月) 入院12日目 退院
術後10日目での退院です。少し早い方の退院らしい。今日は朝飯食べて、リハビリ一回やって、AM10時に退院しました。関係者の方有難うございました。非常に良くして頂きました。




ずっと減塩食だったので、退院した日の昼飯は、焼肉を食べました。美味しかった~。
リハビリ頑張ります~